About Thomale Guide Application
The Thomale Guide App is a medical device. Exclusively in combination with the Thomale Guide it is intended for the controlled neurosurgical placement of a ventricular catheter.
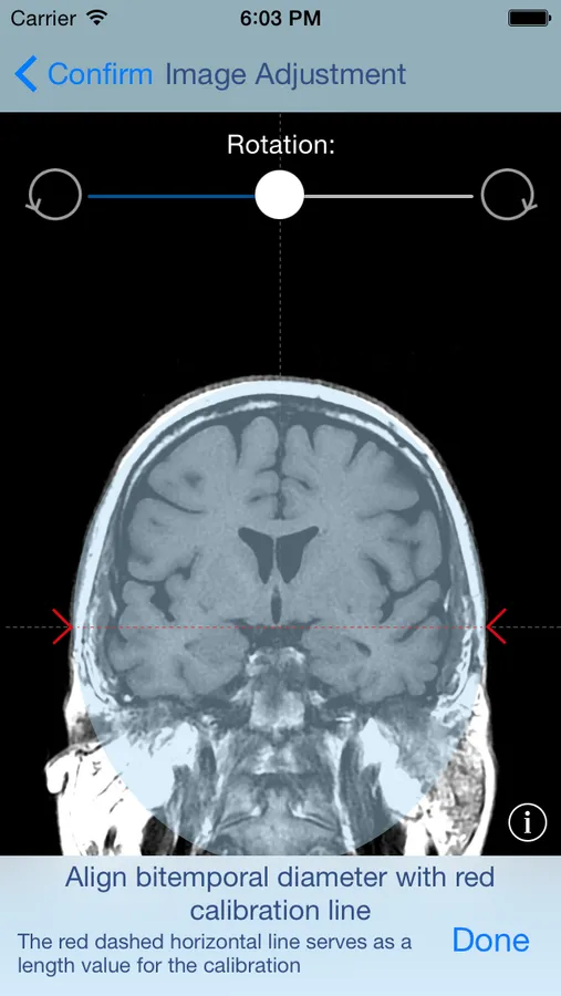
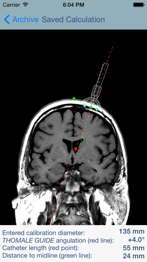
The Thomale Guide is a neurosurgical instrument and can be used as a navigation aid for the implantation of ventricular catheters via a frontal pre-coronary borehole for the treatment of hydrocephalus. With the aid of a coronal CT or MRT Scan this App can calculate the best entrance angle, the ventricular catheter length and the distance between borehole and median line.
The Christoph Miethke GmbH & Co. KG develops, produces and sells neurosurgical implants for the treatment of hydrocephalus.
Do you have any wishes concerning the further development of this App? Contact us: support@miethke.com
The Thomale Guide is a neurosurgical instrument and can be used as a navigation aid for the implantation of ventricular catheters via a frontal pre-coronary borehole for the treatment of hydrocephalus. With the aid of a coronal CT or MRT Scan this App can calculate the best entrance angle, the ventricular catheter length and the distance between borehole and median line.
The Christoph Miethke GmbH & Co. KG develops, produces and sells neurosurgical implants for the treatment of hydrocephalus.
Do you have any wishes concerning the further development of this App? Contact us: support@miethke.com
Thomale Guide Application Screenshots
Tap to Rate: