AppRecs review analysis
AppRecs rating 4.5. Trustworthiness 65 out of 100. Review manipulation risk 19 out of 100. Based on a review sample analyzed.
★★★★☆
4.5
AppRecs Rating
Ratings breakdown
5 star
100%
4 star
0%
3 star
0%
2 star
0%
1 star
0%
What to know
✓
Low review manipulation risk
19% review manipulation risk
✓
High user satisfaction
100% of sampled ratings are 5 stars
About BoSTT
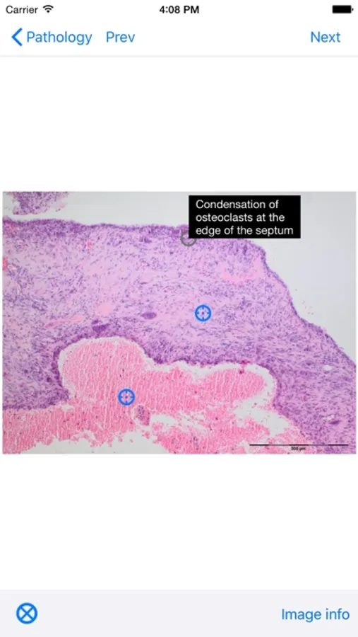
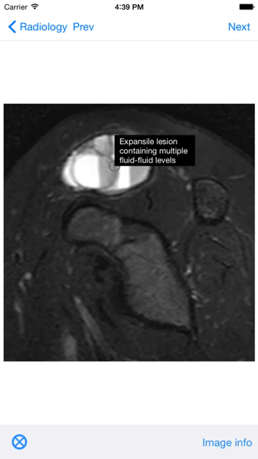
Bone and soft tissue tumours - case studies (BoSTT) is a mobile source of musculoskeletal tumour cases provided by experts at the Royal National Orthopaedic Hospital (RNOH) NHS Trust, Stanmore, Greater London, UK.
BoSTT brings the user a real experience of frequent and rare, typical and more unusual cases of bone and soft tissue tumours. Each case has a clinical history, high resolution radiology and pathology images, diagnosis, treatment and learning points.
The app is designed for healthcare professional working in the field of musculoskeletal healthcare, including radiologists, pathologists, orthopaedic surgeons, oncologists, nurse specialists and physiotherapists. It can also be used by medical students, trainees, residents and specialist fellows for continuing medical education.
The RNOH is the largest orthopaedic hospital in the UK and is regarded as a leader in the field of orthopaedics and sarcoma care both in the UK and worldwide.
This App was financed by RNOH's Innovation Fund with the support of the Pathological Society of Great Britain and Ireland.
BoSTT brings the user a real experience of frequent and rare, typical and more unusual cases of bone and soft tissue tumours. Each case has a clinical history, high resolution radiology and pathology images, diagnosis, treatment and learning points.
The app is designed for healthcare professional working in the field of musculoskeletal healthcare, including radiologists, pathologists, orthopaedic surgeons, oncologists, nurse specialists and physiotherapists. It can also be used by medical students, trainees, residents and specialist fellows for continuing medical education.
The RNOH is the largest orthopaedic hospital in the UK and is regarded as a leader in the field of orthopaedics and sarcoma care both in the UK and worldwide.
This App was financed by RNOH's Innovation Fund with the support of the Pathological Society of Great Britain and Ireland.
BoSTT Screenshots
Tap to Rate:
Reviews for BoSTT
Cyadows
Great resident reference!
I heard several of my MSK staff praise this app and now that I have tried it I must agree! Impressive selection of imaging and histology as well as case presentations. Highly recommend as a current R3 gearing up for Core!
Docsiders
Great app
Nice design, good selection of cases in an awesome combination of radiology and pathology! Great learning tool.