AppRecs review analysis
AppRecs rating 4.2. Trustworthiness 45 out of 100. Review manipulation risk 20 out of 100. Based on a review sample analyzed.
★★★★☆
4.2
AppRecs Rating
Ratings breakdown
5 star
80%
4 star
0%
3 star
0%
2 star
0%
1 star
20%
About EndoPrep
Endodontics involves more than shaping, cleaning and fillings canals. Dentists differ in the way they plan and view tackling a root canal treatment case. The EndoPrep App was developed with the hope of educating dentists to plan their root canal treatment cases.
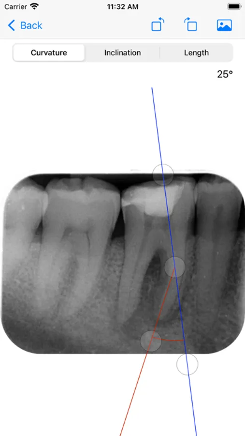
The application contains a feature where you can upload images and measure angles and lengths on the image. The measurement tool is useful when you are discussing cases with your colleagues when you do not have radiographic software available. You can also use your camera to upload and measure images. The measurement tool is useful if you use chemically developed films and hence do not have digital software to measure radiographs.
This also includes
-an online study guide to help dentists, Endodontic residents and Endodontists access relevant key literature. Free access articles are available.
-links to free webinars to help dentists.
-links to third-party resources to education patients.
An in-app purchase, 'EndoPrep Clinical', includes
-an MB2 guide
-an endodontic calculator tool
-Guides on how to prepare root canals,
Future updates of the Endoprep App will include:
-Guides on how to obturate root canals,
-Guides for finding canals,
-By downloading the EndoPrep App, you will be notified when there are new features available.
About the Developers:
Details about Dr Omar Ikram BDS FRACDS MClinDent (Endo) MRD FICD FPFA
Omar Ikram is a Specialist in Endodontics, currently practising in Sydney, Australia. He completed his BDS degree in 1997, Fellowship of the Royal Australasian College of Dental Surgeons in 2005, Masters of Clinical Dentistry from King’s College London in 2009. He was inducted into the International College of Dentists in 2019. He is the director of Specialist Endo Crows Nest, Co-owner of Dental Specialists of Sydney and administrator for the Specialist Endo Crows Nest social media pages, an educational platform for dental surgeons.
Details about A/Prof William Ha BDSc GCRC PhD (Endo) DClinDent (Endo) FPFA
William Ha is the discipline head and associate professor of endodontics at the University of Sydney. He completed his dental degree in 2007, a research commercialisation certificate in 2012, his PhD in endodontics in 2017, and his DClinDent in endodontics in 2017. He was awarded a Fellow of the Pierre Fauchard Academy in 2019. He is also a registered app developer and has developed popular apps such as Dental Prescriber and BraceMate. He manages the social media page ‘EndoPrepApp’, an educational and humorous site for dentists and endodontists.
The application contains a feature where you can upload images and measure angles and lengths on the image. The measurement tool is useful when you are discussing cases with your colleagues when you do not have radiographic software available. You can also use your camera to upload and measure images. The measurement tool is useful if you use chemically developed films and hence do not have digital software to measure radiographs.
This also includes
-an online study guide to help dentists, Endodontic residents and Endodontists access relevant key literature. Free access articles are available.
-links to free webinars to help dentists.
-links to third-party resources to education patients.
An in-app purchase, 'EndoPrep Clinical', includes
-an MB2 guide
-an endodontic calculator tool
-Guides on how to prepare root canals,
Future updates of the Endoprep App will include:
-Guides on how to obturate root canals,
-Guides for finding canals,
-By downloading the EndoPrep App, you will be notified when there are new features available.
About the Developers:
Details about Dr Omar Ikram BDS FRACDS MClinDent (Endo) MRD FICD FPFA
Omar Ikram is a Specialist in Endodontics, currently practising in Sydney, Australia. He completed his BDS degree in 1997, Fellowship of the Royal Australasian College of Dental Surgeons in 2005, Masters of Clinical Dentistry from King’s College London in 2009. He was inducted into the International College of Dentists in 2019. He is the director of Specialist Endo Crows Nest, Co-owner of Dental Specialists of Sydney and administrator for the Specialist Endo Crows Nest social media pages, an educational platform for dental surgeons.
Details about A/Prof William Ha BDSc GCRC PhD (Endo) DClinDent (Endo) FPFA
William Ha is the discipline head and associate professor of endodontics at the University of Sydney. He completed his dental degree in 2007, a research commercialisation certificate in 2012, his PhD in endodontics in 2017, and his DClinDent in endodontics in 2017. He was awarded a Fellow of the Pierre Fauchard Academy in 2019. He is also a registered app developer and has developed popular apps such as Dental Prescriber and BraceMate. He manages the social media page ‘EndoPrepApp’, an educational and humorous site for dentists and endodontists.
EndoPrep Screenshots
Tap to Rate:
Reviews for EndoPrep
Mrefky
Awesome endodontic app
Awesome endodontic app for measuring angulation