AppRecs review analysis
AppRecs rating 4.5. Trustworthiness 50 out of 100. Review manipulation risk 32 out of 100. Based on a review sample analyzed.
★★★★☆
4.5
AppRecs Rating
Ratings breakdown
5 star
100%
4 star
0%
3 star
0%
2 star
0%
1 star
0%
What to know
✓
High user satisfaction
100% of sampled ratings are 5 stars
About Double Lumen
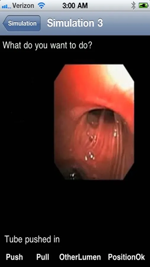
This is real video double lumen and bronchial blocker simulator.
As the chief of thoracic anesthesia I have noticed that residents and even some attendings have trouble recognizing correct DLT placement. The problem is that there are fewer teaching cases requiring DLTs than regular ETTs, and you usually have an impatient surgeon hovering around you, leaving you little time to visually process what you are seeing through the bronchoscope.
We have created a DLT simulator that takes the patient, surgeon and all constraints out of the equation, giving you all the time you need to learn this valuable skill. The simulator gives you a basic control set allowing you to push the DLT in, pull it out, change the viewable lumen and finally confirm when you think the position is correct. The simulator will let you know how you are doing.
The simulator starts with a basic teaching program, going over a full bronchoscopy exam. You can then view a correctly and incorrectly placed DLT. From this point you have access to 10 simulations, including bronchial blocker positioning. The first few simulation help walk you through the correct movement in order to properly seat and confirm the placement of the left-sided DLt. As you advance through the simulations, you are given more control over the positioning. The video images are real bronchoscopy images so you are seeing what you would actually visualize in the operating room.
A lot of time went into capturing and editing video images. Even more time went into developing an intelligent simulator to take into account the multiple choices one has when moving the DLT. The result is the first bronchoscopy simulator that gives you the realistic feeling of actually looking down the bronchoscope, performing the exam and manipulating the DLT or blocker all by yourself.
As the chief of thoracic anesthesia I have noticed that residents and even some attendings have trouble recognizing correct DLT placement. The problem is that there are fewer teaching cases requiring DLTs than regular ETTs, and you usually have an impatient surgeon hovering around you, leaving you little time to visually process what you are seeing through the bronchoscope.
We have created a DLT simulator that takes the patient, surgeon and all constraints out of the equation, giving you all the time you need to learn this valuable skill. The simulator gives you a basic control set allowing you to push the DLT in, pull it out, change the viewable lumen and finally confirm when you think the position is correct. The simulator will let you know how you are doing.
The simulator starts with a basic teaching program, going over a full bronchoscopy exam. You can then view a correctly and incorrectly placed DLT. From this point you have access to 10 simulations, including bronchial blocker positioning. The first few simulation help walk you through the correct movement in order to properly seat and confirm the placement of the left-sided DLt. As you advance through the simulations, you are given more control over the positioning. The video images are real bronchoscopy images so you are seeing what you would actually visualize in the operating room.
A lot of time went into capturing and editing video images. Even more time went into developing an intelligent simulator to take into account the multiple choices one has when moving the DLT. The result is the first bronchoscopy simulator that gives you the realistic feeling of actually looking down the bronchoscope, performing the exam and manipulating the DLT or blocker all by yourself.
Double Lumen Screenshots
Tap to Rate:
Reviews for Double Lumen
Geez Luizee
Double Lumen Review
A great app for honing your double lumen tube skills! Highly recommended.
Mandadych
A great app, only one of its time!
Recommend for anyone wanting practice with DLT placement!!