ACP Board Study Guide icon

ACP Board Study Guide

American College of Prosthodontists
Free
5.0 out of 5

About ACP Board Study Guide

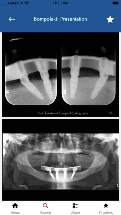
The ACP Board Study Guide is designed to help residents and practitioners prepare for certification by the American Board of Prosthodontics. Included are detailed breakdowns of each stage of the exam; fact sheets, study guides, and literature reviews; dozens of actual candidate presentations with narratives; more than a decade of mock exams, with and without answers; reports from successful candidates about their experience; and much more!

ACP Board Study Guide Screenshots

More from American College of Prosthodontists