Smiles For Life Oral Health

Smiles For Life Oral Health icon

Smiles For Life Oral Health

Sandcastle

About Smiles For Life Oral Health

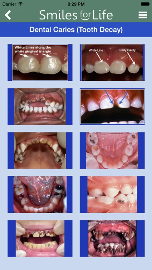
The Smiles for Life (SFL) Oral Health App is a reference tool for oral conditions designed to assist primary care providers in formulating diagnoses in real-time. Clinicians select an algorithm based on the presenting concern of the patient or physical exam finding, and the decision tool presents a series of questions to help formulate a diagnosis, triage, and treatment plan. Practical advice will aid clinicians in providing the best care for their patients. An extensive photo gallery of tooth and oral soft tissue findings is also included.
Smiles For Life Oral Health Screenshots
Screenshot 1Screenshot 2Screenshot 3Screenshot 4Screenshot 5

Tap to Rate:

Similar to Smiles For Life Oral Health

©2023 Verdant Labs LLC. All rights reserved.

Privacy PolicyContact